Сборник народных рецептов
rss новости rss статьи rss все архив
Ваше здоровье
Муковисцидоз: как жить долго и счастливо
Муковисцидоз: как жить долго и счастливо Муковисцидоз - больная медико-социальная проблема. Раньше она касалась в основном педиатрии. Сейчас все больше специалистов разного профиля вовлекается в ее решение. Какова общая картина состояния дел, возможности и методики лечения, имеющиеся проблемы? Об этом для MedPulse рассказывает руководитель НКО муковисцидоза МГНЦ РАМН Николай Капранов.
Недосыпание делает мужчин бесплодными
Недосыпание делает мужчин бесплодными Хорошо ли высыпается ваш муж? Если вы планируете в ближайшем или отдаленном будущем завести детей, стоит обеспечить супруга спокойным сном хотя бы на семь-восемь часов в сутки. Дело в том, что недосыпание способно сделать мужчину бесплодным. Этот тревожный факт обнаружили исследователи из Университета Южной Дании.
Кем становятся собиратели жуков
Кем становятся собиратели жуков Основные исследования Фрэнка Бернета были посвящены экологии вирусов, их взаимоотношениям с "хозяевами", механизму и изменчивости. Но наиболее известен ученый своими работами в области иммунологии. Он автор общепризнанной сегодня клонально-селективной теории иммунитета и первооткрывателем иммунотолерантности. За что и получил Нобелевскую премию.
Видео
Можно ли покончить с пищевой аллергией?
Можно ли покончить с пищевой аллергией? Вы случайно не страдаете от пищевой аллергии? Вам не знакомы переживания, когда приходится проходить мимо прилавка с клубникой или орехами? Нет? Тогда вы – счастливчик! Цивилизация довела человечество практически до ручки. Куда ни кинь – все нельзя! А ведь сами виноваты! Каковы новые взгляды на причины пищевой аллергии и ее лечение? Ознакомимся.
Диабет. Как предотвратить ампутацию?
Диабет. Как предотвратить ампутацию? Синдром диабетической стопы – наиболее частое и тяжелое осложнение сахарного диабета I и II типа, при котором развиваются патологические изменения стоп больного в виде гнойно-некротических процессов, язв и костно-суставных поражений, возникающих на фоне специфических изменений периферических нервов, сосудов, кожи и мягких тканей, костей и суставов.
Гемофилия: жизнь без инвалидности
Гемофилия: жизнь без инвалидности Всероссийское общество гемофилии (ВОГ) и медицинская общественность всерьез обеспокоены передачей в 2014 году полномочий по закупке препаратов для лечения пациентов с наследственными нарушениями свертываемости крови из центра в регионы РФ. Дробление закупок дорогостоящих препаратов на 747 аукционов неминуемо приведет к повышению цен на них.
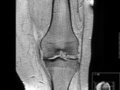
Остеоартроз: боль и разрушение?..
Остеоартроз: боль и разрушение?.. Остеоартрозом (ОА), который представляет собой самую распространенную форму поражения суставов человека, страдают от 10 до 13 процентов населения земного шара и приблизительно 15 миллионов человек в России. Это хроническое заболевание начинается медленно и незаметно с кратковременных болей в суставах, на которые человек не обращает внимания.
Паллиативная медицина: каковы перспективы
Паллиативная медицина: каковы перспективы Ежегодно в России только от онкологических заболеваний умирает около трехсот тысяч больных. Между тем, до недавнего времени помощь неизлечимым пациентам оказывалась преимущественно "явочным" порядком. Но сама паллиативная помощь в медицине существовала всегда - она, естественно, не излечивала, но прекрасно помогала и облегчала страдания...
Свободная медицина свободной Франции
Свободная медицина свободной Франции Французская медицина считается одной из лучших в мире. Уже много лет она занимает 3-4-ю позицию после США, Германии и Швейцарии. Основу составляет смешанное государственно-частное здравоохранение с национальной идеей свободы: докторов - в профессиональной деятельности и граждан - в выборе врачей и их услуг. Но "медицинская свобода" дорога…
Мифы и вся настоящая правда о виагре
Мифы и вся настоящая правда о виагре Пятнадцать лет назад, весной 1998 года, управление пищевых продуктов и лекарств министерства здравоохранения США одобрило средство от мужского полового бессилия "Виагра". С тех самых пор эти голубенькие таблетки неизменно были окружены всевозможными вымыслами и домыслами. Познакомимся с самыми распространенными мифами и наконец развенчаем их.
Болезни века: грипп все еще непобедим?
Болезни века: грипп все еще непобедим? Кир Булычев в одной повести написал, что единственная болезнь, которую люди не смогут победить даже после завоевания космоса, - это насморк. Это, безусловно, шутка, но в ней очень много правды. Ежегодно свыше 100 миллионов человек в мире подхватывают этот вирус, а более полумиллиона - умирают от него. Смогут ли люди когда-нибудь победить грипп?
Реформы в здравоохранении продолжаются
Реформы в здравоохранении продолжаются Реформы в российском здравоохранении продолжаются. На этот раз ими занялись законодатели. Судя по всему, изменения предстоят воистину революционные. Главным их элементом должна стать передача "кадровой политики" отрасли от МЗ в руки "врачебных ассоциаций". Это нынешняя "Медицинская палата" во главе с ее президентом Леонидом Рошалем.
Немелкоклеточный рак легкого. Теперь у россиян
Немелкоклеточный рак легкого. Теперь у россиян Стартовало самое крупное всемирное молекулярно-диагностическое исследование немелкоклеточного рака легкого (НМРЛ) у человека. Главная цель исследования - IGNITE, анализ применения тестирования мутаций в гене рецептора эпидермального фактора роста (EGFR) в России и в Азиатско-Тихоокеанском регионе. Общее количество пациентов — 3500 человек.
Мудров:  Жизнью жертвую ради жизни других
Мудров: "Жизнью жертвую ради жизни других" Матвей Яковлевич Мудров (1776-1831) - один из основателей русской терапевтической школы, военной гигиены, первый директор медицинского факультета Московского университета, старший врач Центральной комиссии по борьбе с эпидемиями. О судьбе и вкладе в российскую медицину известнейшего теоретика и практика подробно рассказывает эта статья.
Просто о простате, или Тест на мужественность
Просто о простате, или Тест на мужественность Чтобы успокоить наших мужчин, прежде всего требуется констатировать: простатит – вовсе не какой-то жуткий диагноз и, тем более, не смерть. Воспалительные поражения предстательной железы, которые каждый день доктора констатируют у тысячи мужчин на планете, почти никого еще не заставили пересмотреть свои привычки и устоявшийся образ жизни.
Альтернатива для дорогостоящих сеансов массажа
Альтернатива для дорогостоящих сеансов массажа Массаж является, наверное, одним из наиболее древних методов врачевания, дошедших до нашего времени. Различные специалисты рекомендуют периодически проводить сеансы массажа как для мужчин, так и для женщин…
Украина: зарубежным препаратам входа нет?
Украина: зарубежным препаратам входа нет? С 1 марта 2013 года на Украине начинает действовать европейская норма о лицензировании импорта лекарств. Зарубежные препараты, производитель которых не сможет представить сертификат качества и лицензию на импорт, просто не попадут в аптеки страны. Врачи возмущены: средства для анестезии "импортные". Если их нет, придется оперировать без наркоза.
Экономика здоровья, или Сколько стоит ХОБЛ?
Экономика здоровья, или Сколько стоит ХОБЛ? В рамках прошедшего недавно VII Конгресса "Развитие фармакоэкономики и фармакоэпидемиологии в Российской Федерации" главный пульмонолог Департамента здравоохранения города Москвы А.С. Белевский представил доклад, который посвящен современным фармакоэкономическим аспектам диагностики и лечения хронической обструктивной болезни легких (ХОБЛ).
<  1 2 3 4 5 6 7 8 9 10 ... 30 >
Лечение геморроя Акушерство и гинекология Стоматология Красота Грибок на ногах Ваше здоровье
Косоглазие: глазки врозь и в кучку Если появилась горошина на веке Чем опасен просмотр 3D-фильмов Офтальмологи переходят на "новый уровень" Как сохранить здоровье глаз надолго
Детский онколог - штучный экземпляр
Детский онколог - штучный экземпляр
Врач-онколог, да еще детский, – это штучный экземпляр. Это не менее 10 лет работы по специальности у постели больного. Это особый склад характера. Уровень их подготовки - боль и беда нашего здравоохранения. Об этом шла речь на "круглом столе", посвященном вопросам "бюджетного маневра" в здравоохранении. По этому поводу высказались эксперты.
Поговорим о качестве интимной жизни
Молодильные яблочки вместо лекарств
Видео
e8d40ada